Extended Hours, Weekends, & Same-day Emergency Available

Extended Hours, Weekends, & Same-day Emergency Available

KöR Teeth Whitening in McKinney, TX

With Dr. Steven Nguyen and our team by your side, a radiant smile is within reach. We offer flexible financing options to make your dream smile a reality. ››

New Patient Specials

Book now and save with our limited-time offers.

Take Home Whitening with New Patient Exam

FREE

Must mention or present this coupon at time of booking.

Limited Time Offer. For New Patients Only.
Must mention or present this coupon.

McKinney’s First Choice for Gentle Smile Whitening

MDRN Dental Studio is McKinney, TX’s premier destination for transforming smiles. Under the expert care of Dr. Steven Nguyen, we’re proud to offer state-of-the-art teeth whitening services that promise not just to brighten your smile but to rejuvenate your confidence. With a commitment to excellence, personalized care, and the latest in dental technology, we ensure every patient leaves our studio with a smile they’re proud to show off.

The Significance of a Bright, White Smile

A radiant, white smile is more than just an aesthetic asset; it’s a key to unlocking confidence, enhancing social interactions, and making lasting first impressions. In today’s world, where personal appearance can significantly impact one’s personal and professional life, a bright smile is invaluable.

Understanding Tooth Discoloration

Over time, teeth can become stained or discolored due to various factors. Common culprits include:

  • Food and Drink: Coffee, tea, red wine, and certain fruits and vegetables can stain teeth.
  • Tobacco Use: Both smoking and chewing tobacco can lead to significant tooth discoloration.
  • Age: As we age, the outer enamel layer of teeth gets thinner, revealing the natural yellow color of the dentin.
  • Medications: Certain medications can contribute to tooth discoloration as a side effect.

Introducing KoR Whitening: A Revolution in Teeth Whitening

At MDRN Dental Studio, we are proud to offer KoR Whitening, a revolutionary teeth whitening system that delivers exceptional, long-lasting results. Unlike other treatments, KoR restores your teeth’s natural ability to absorb oxygen, allowing the professional-grade gel to penetrate deeply and dissolve even the toughest stains. The result? A dramatically brighter, more natural-looking smile without the need for lasers or heat.

The KoR Whitening Process: Personalized for You

Our carefully designed KoR Whitening process combines at-home and in-office treatments to achieve optimal results while ensuring your comfort. Here’s what you can expect:

Custom Trays for Home Whitening

Your whitening journey begins with the creation of custom-fitted trays. Worn overnight for two weeks, these trays allow the KoR gel to work gradually, whitening your teeth with minimal sensitivity.

In-Office Final Session

After two weeks of at-home whitening, you’ll visit our office for a professional in-office session. This final treatment enhances and locks in your results, ensuring a radiant, evenly whitened smile.

Why Choose KoR Whitening?

KoR Whitening is the gold standard for teeth whitening, known for its ability to treat even deep-set stains. Whether you’re looking to refresh your smile or prepare for a big event, KoR Whitening guarantees results you’ll love.

Ready to experience the KoR difference? Book your consultation today and let us help you achieve the brighter, whiter smile you deserve!

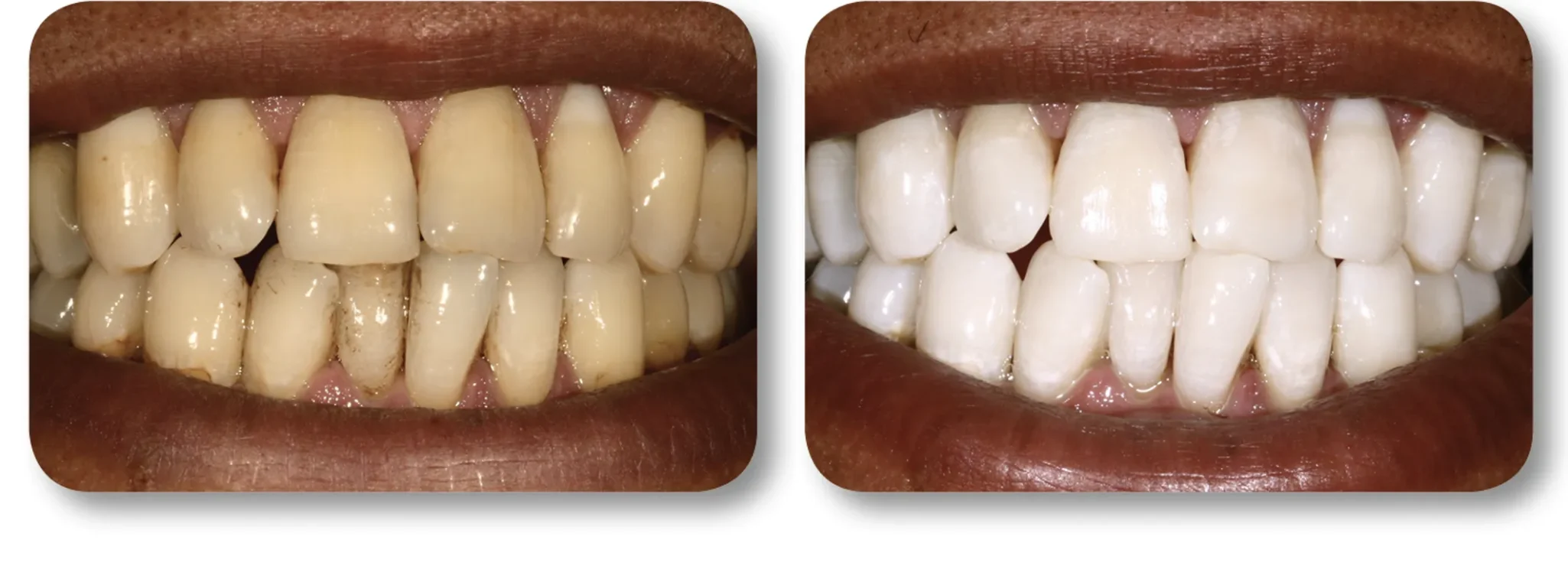
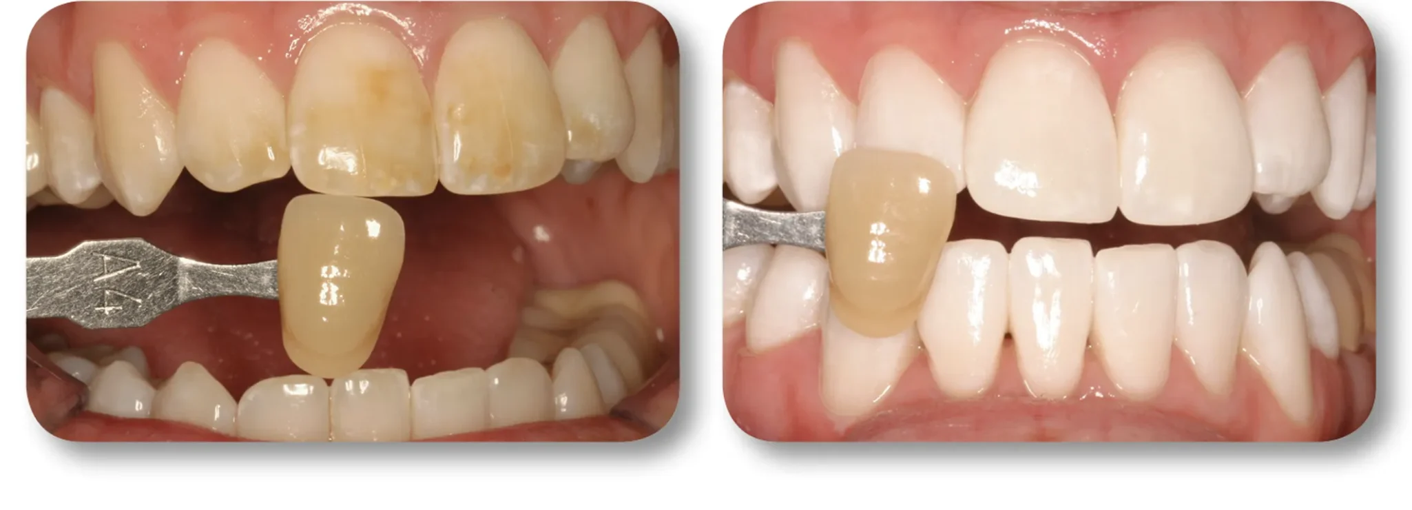
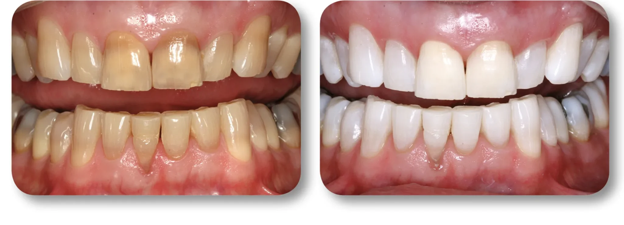
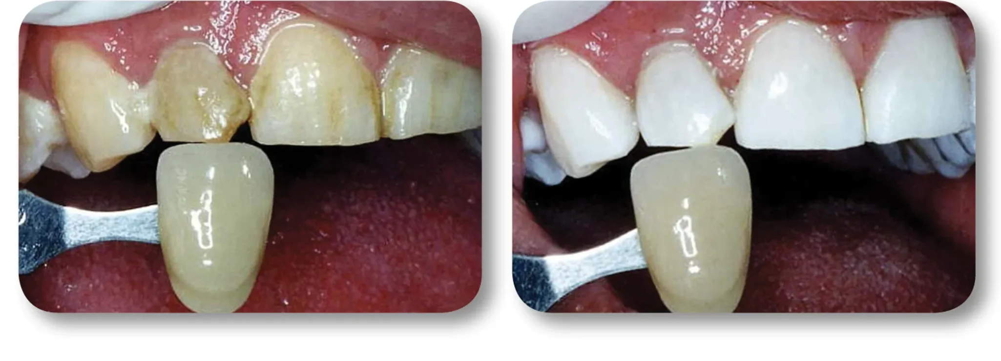
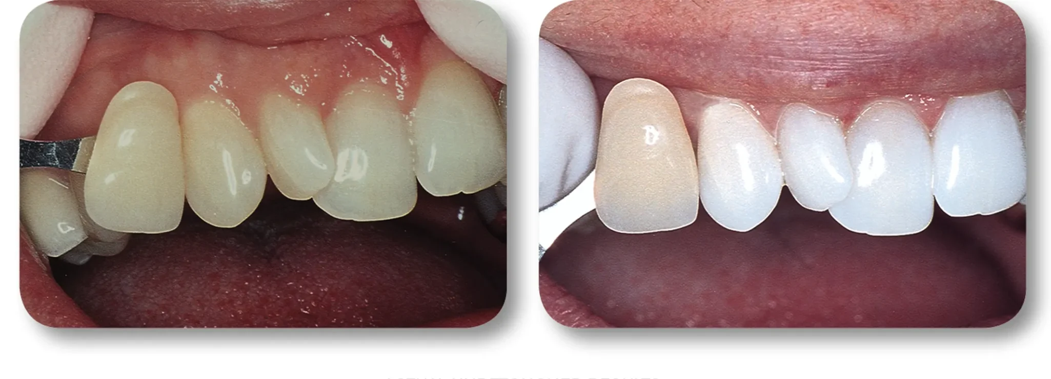
Amazing Results with KoR Whitening

Frequently Asked Questions

Teeth whitening is a cosmetic dental procedure aimed at removing surface stains and discoloration from your teeth, resulting in a brighter, whiter smile. It works through the application of whitening agents, like hydrogen peroxide or carbamide peroxide, which penetrate the enamel to break down and lift stains from the teeth.

Yes, when performed under the supervision of a dental professional like Dr. Steven Nguyen, teeth whitening is a safe and effective way to enhance the appearance of your smile. We use proven techniques and materials to ensure your comfort and safety throughout the whitening process.

The longevity of teeth whitening results can vary based on individual habits and oral hygiene. Generally, the effects can last from several months to a few years. To maintain your results, it’s important to avoid stain-causing foods and beverages, use a straw when possible, and maintain good oral hygiene practices.

Most people will see a noticeable improvement in the brightness of their smile after a teeth whitening treatment. However, it may not be suitable for everyone, such as individuals with dental restorations, severe enamel loss, or intrinsic stains. During your consultation, Dr. Nguyen will assess your suitability for whitening and discuss alternative options if necessary.

Some patients may experience temporary sensitivity to hot or cold temperatures following a teeth whitening procedure. This sensitivity is usually short-lived and can be managed with over-the-counter pain relief or special toothpaste for sensitive teeth. We take measures to minimize sensitivity during and after your treatment.

At-home whitening kits, often provided by dental practices, offer a convenient way to whiten your teeth over a couple of weeks, using custom-fitted trays and a lower concentration of whitening agent. In-office whitening, like the KoR Whitening system offered at MDRN Dental Studio, provides immediate and dramatic results under the careful supervision of a dental professional, using a more potent whitening agent for optimal results.

To extend the life of your teeth whitening results, avoid stain-causing foods and beverages, practice good oral hygiene by brushing twice a day and flossing daily, and consider touch-up treatments as recommended by Dr. Nguyen.

The cost of teeth whitening can vary based on the type of treatment you choose and the extent of discoloration. At MDRN Dental Studio, we provide transparent pricing and financing options to make teeth whitening accessible to our patients.